365HEXIM PLUS DENTAL CLINIC - MTA(Mini-Tube Appliance) Bracket
MTA앞니 부분교정(미니 튜브 장치)을 이용한 앞니
단기교정치료로 아름다운 미소와 치아에 자신감을 가져보세요.
저희 치과는 과잉 교정진료를 하지 않습니다.
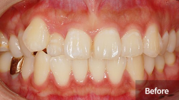
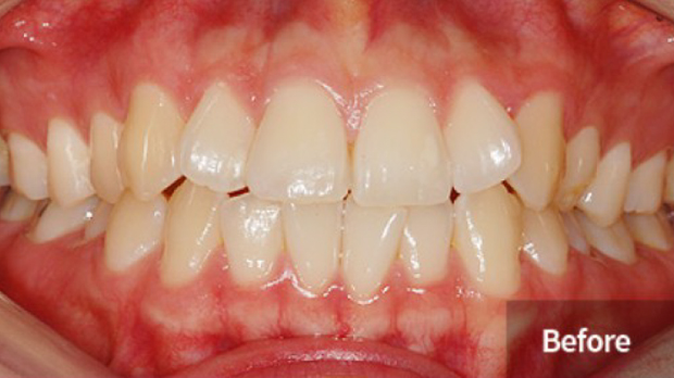
MTA앞니 부분교정 범위
어금니의 이동없이 앞니의 삐뚤어진 치아를 MiNi TUBE를 이용해 단기간 내에 빠르게 교정하는 새로운 교정치료 방법
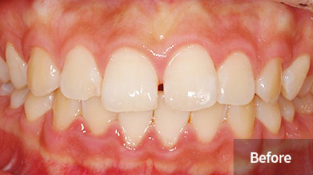
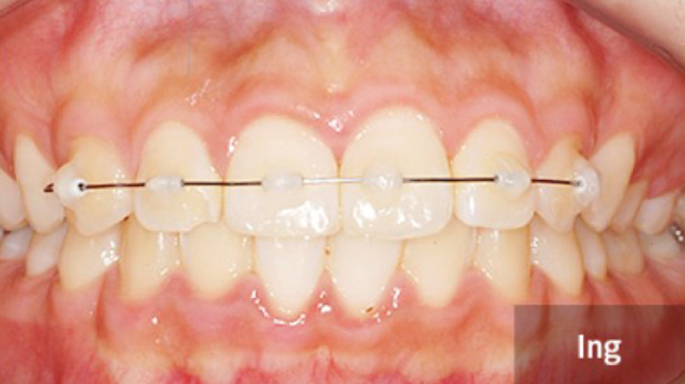
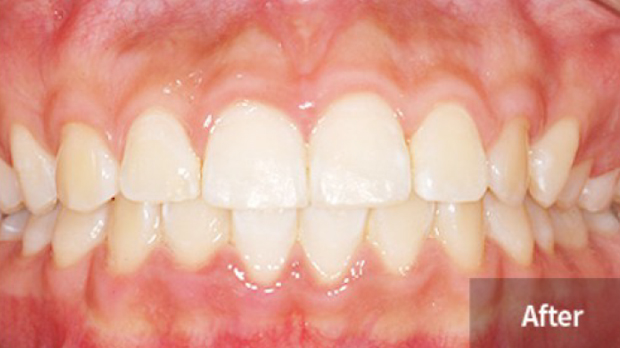
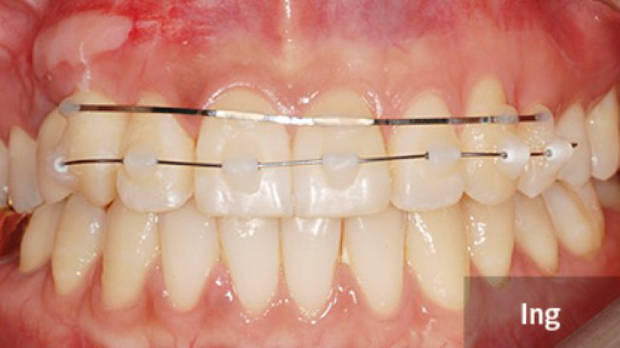
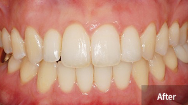
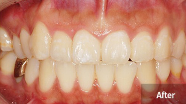
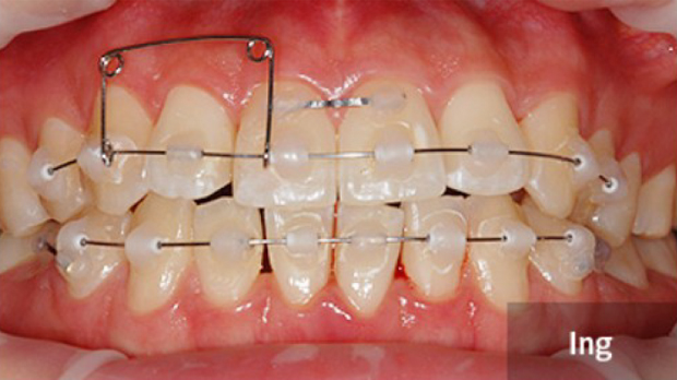
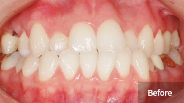
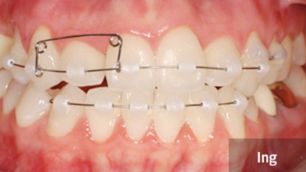
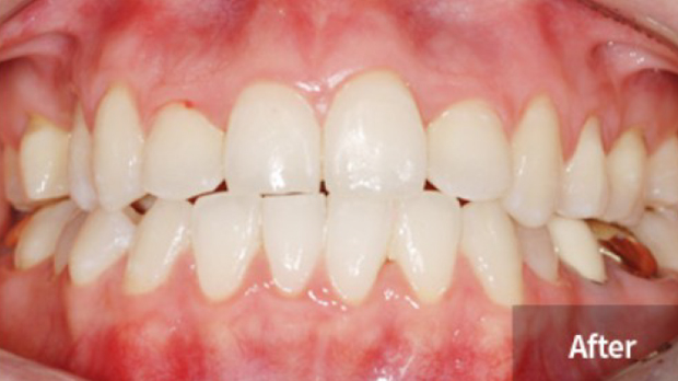
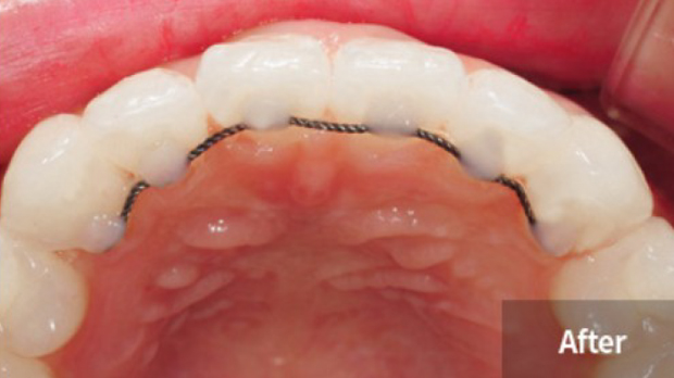
18주 치료 종결 사진
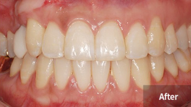
18주의 MTA앞니 부분교정이 끝난 후 가지런해진 고객님의 치아
최소한의 힘으로 빠르게 교정을!
MTA는 순측면에 부착되는 기존 전치부 심미교정 장치 중에서도 가장 작은 크기입니다.
특히 튜브 형태를 띠고 있는 교정장치는 MTA가 유일합니다. MTA의 경우 튜브 형태이기 때문에
베이스가 따로 존재하지 않아, 치면과 튜브 사이를 본딩하는게 아니라, 튜브 위로 레진을 덮는
방식으로 본딩이 이뤄지기 때문에 치면에 최대한 가까이 붙일 수 있습니다. 환자가 느끼게 되는
이물감을 최소화 할 수 있음은 물론, 치면에 가장 근접하게 부착돼 치아근원심에 정확한 힘을
전달 할 수 있습니다.
No Occlusal alteration
012 NiTi 가능 와이어를 사용하므로 급작스러운 교합변화 없이 치료가능
No Pain
Light force로 치료하므로 교정와이어 삽입 후 동통 없이 치료가능
No Discomfort
장치의 profile이 크지 않아 연조직 손상이나 불편감 없이 치료가능
No Interference
장치의 두께가 얆아 과개교합에서도 부착가능하고 탈락 염려 없이 치료가능






















얼굴의 형태와 상하악간의 관계 및 구강내 상태를 관찰하고 치료동기에 대한 충분한 상담을 토대로 대략적인 본인의 상태와 치료계획에 대한 설명을 듣습니다. 치료방법 및 치료기간에 대한 설명을 드리며, 본인과 비슷한 사례를 통해서 교정에 대한 이해를 높여드립니다.

치아 및 구강상태, 교합관계와 구강기능상태, 악관절의 이상유무 및 성장발육단계, 두부 골격형의 입체적 분석을 통하여 치료 후 개개인에 특화된 맞춤치료를 가능하게 하며, 치료 후 안모변화를 예측할 수 있습니다.

수집된 예비진단 자료와 정밀진단자료를 분석하여 개개인의 치아 및 구강상태에 맞게 수진자의 치료 목적을 극대화하고, 보다 편하고 안전한 치료방법을 맞춤 준비하여 시기, 방법, 기간, 비용에 관하여 전문상담을 드립니다.

치아에 교정장치 부착 전 치아 및 구강상태를 청결하게 유지할 수 있도록 잇솔질 교육을 기본으로 스케일링과 충치치료를 시행하여 교정치료 중 건강한 구강 관리를 유도합니다.

교정치료 방법에 따라 4~6주 간격의 정기적인 내원이 요구되고, 교정치료의 목표가 달성되면 교정장치를 제거합니다. 지속적인 교정력이 적용되는 것이 핵심임으로 지정된 내원일에 충실한 것은 치료의 완성도와 치료기간을 좌우하는 결정적인 요소입니다.

교정장치를 매개로 치아와 안면에 적용되는 지속적인 교정력의 결과로 교정치료가 종료되어 교정장치를 제거합니다. 이동한 치아가 잘 유지될 수 있도록 보정장치를 6개월~2년 정도 착용 하는 것을 권장하고 있습니다.
치료 결과를 유지하기 위한 매우 중요한 단계입니다.
짧은 교정기간(12~27주)
얇고 작은 미니 튜브를 이용하여 치아에 지속적으로 약한 힘을 주어 치아를 이동시킴으로서 신속하고 단기간에 치아의 이동을 완성시킬 수 있습니다.
작은 교정장치(Size:3mm)
세계 유일의 튜브방식의 MTA 앞니 부분교정장치는 치아색과 유사한 색상을 띄고 작아 외관상으로 잘 보이지 않아 심미적으로 우수합니다.
핵심플러스의 전문성있는 진료
대전 핵심플러스치과 MTA 앞니 부분교정은 다릅니다.
MTA앞니 부분교정 시술로 인해 교정치료 대중화를 이끌었으며, 앞니를 가지런하게하기 위해 더 이상 보철을 하지 않고 앞니를 가지런하게 할 수 있고 평생 자기 치아를 유지할 수 있습니다.
오로지 환자를 위한 좋은 치료결과를 위한 치료방법에 집중하기 때문입니다.
핵심플러스의 차별화된 치료방식
MTA장치물은 개발될 때 부터 부분교정을 위해 개발되었으므로 부분교정하는데 보다 효과적이고 장치물이 작기 때문에 이물감이 적고 잘 보이지 않습니다.
또한, 가는 형상합금와이어를 사용하기 때문에 거의 아프지 않고 신속히(8주~16주) 치아가 움직입니다.
핵심플러스치과 만의 통합진료
대전 핵심플러스치과 원장은 교정뿐만 아니라 잇몸 치료 , 루미네이트 Trainer로서 환자 입장에서 가장 좋은 치료계획을 세울수 있고, 교정치료시 잇몸질환이나 충치치료, 사랑니 발치 등을 다른 치과에 의뢰하지 않고 대표원장님께서 직접 진료 합니다.
이가 바른 위치로 움직이는 느낌
고정식 교정장치를 장착하게 되면 2~3일간은 이가 뻐근하거나 시큰거릴 수 있습니다.
이것은 이가 바른 위치로 움직이는 느낌이므로 너무 걱정하지 않으셔도 됩니다.
어금니로 씹으세요
질기거나 딱딱한 음식(껌,엿,캬라멜등)을 드시게 되면 장치가 떨어질 수도 있으니 피하시는게 좋으며,
식사를 하실때에 앞니로 물어뜯거나 베어먹는 것은 피하시고 되도록 잘게 썰어 어금니로 씹어드십시오.
식사 후 올바른 칫솔질
치아에 장치가 부착되어 있기 때문에 음식물이 잘 낍니다.
식사 후 올바른 칫솔질로 구강위생 상태를 청결히 유지 시켜 주십시오.
장치가 떨어졌을 때
교정장치의 철사 끝에 입 안이 찔려 아프시거나 장치가 떨어졌을 때에는 떨어진 장치를 챙기셔서 내원하시면 됩니다.
진료 약속날짜를 잘 지켜주세요.
교정치료를 통한 만족을 보다 빨리 얻기 위해서는 진료 약속날짜를 잘 지켜주셔야 합니다.
부득이한 사정이 생기셔서 약속을 지킬 수 없을때에는 꼭 사전에 전화연락을 주십시오.